Treatment for Your Soft Tissue Concerns
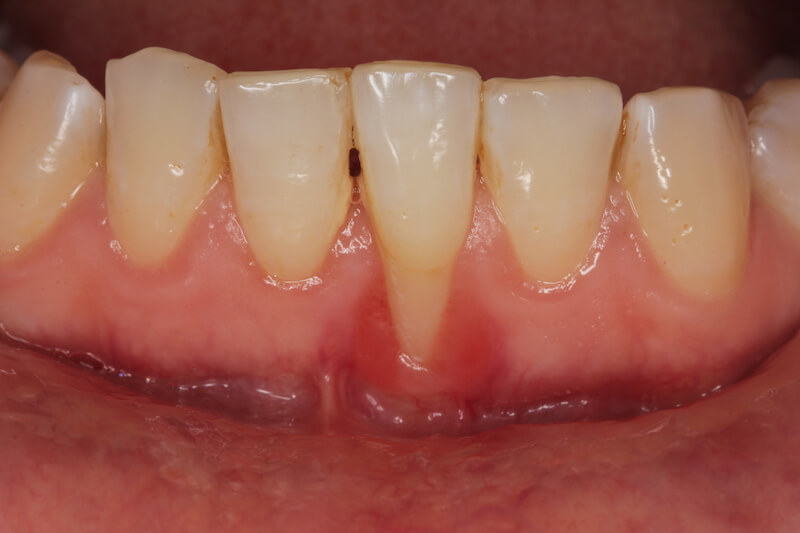
The soft tissues of your mouth—your lips, gums, cheeks, and tongue—sometimes require specialized care to ensure they’re functioning correctly. For some patients, this means treatment for disease. Other times, the tissue is causing too much restriction and is hindering the ability to eat and speak. Sometimes, changes in the tissue’s color and texture need to be evaluated. No matter what your soft tissue concerns are, rely on Dr. Saleh Elahwal who has specialized training in periodontal procedures. With minimally invasive laser technology and experience in soft tissue treatment, they can restore health and vitality to your soft tissues.


